R8. 1月5日(月)より 月曜午後診の診療が 16:00〜18:00 に変わりました。 土曜日の一般診療を開始いたします。 診療時間は10:00〜11:30までとなります。
R8. 1月5日(月)より 月曜午後診の診療が 16:00〜18:00 に変わりました。 土曜日の一般診療を開始いたします。 診療時間は10:00〜11:30までとなります。

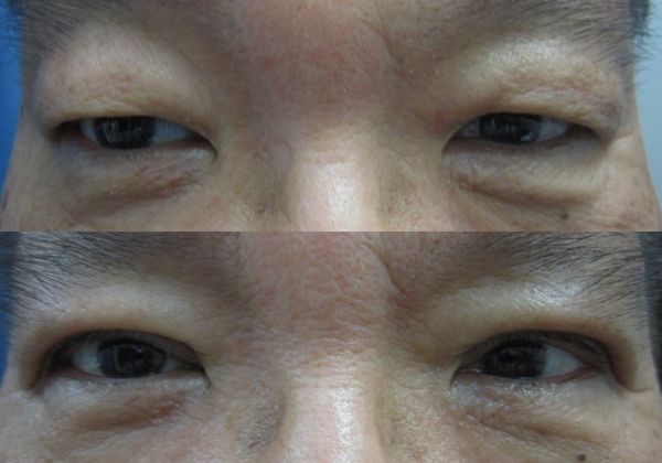
老化やコンタクトレンズの長期使用により瞼が開けにくくなることを、眼瞼下垂症といいます。
眼瞼下垂があると、黒目の見え方が狭くなり眠たそうな目に見られることが多くなります。
・瞼が重く、目が開けにくい。
・目の上がくぼんでいる。
・額に横ジワが目立つ。
・眠たそうな目をしていると指摘されたことがある。
・夕方になると視界が狭くなる。
・目の見開きに左右差がある。
・目と眉毛の間の距離が広がり、眉毛の位置が高くなった。
| 施術内容 | メスにて上眼瞼の皮膚を切開し、眼瞼挙筋腱膜を前転し瞼板の適切な位置に固定することで、見開きを改善させます。必要に応じて贅皮を切除し、上眼瞼の真皮と瞼板または眼瞼挙筋を結合することで、開瞼時の二重瞼を作成します。 |
| 施術時間 | 70分(真皮縫合あり。表皮縫合片目につき15針程度。) |
| シャワー | 翌日より可能です。入浴は抜糸翌日(5~8日目)より可能です。 |
| メイク・洗顔 | 抜糸後翌日から可能です。 |
| 抜糸 | 4~7日後。 |
| ダウンタイム・合併症・リスク | 腫脹、内出血:1~2週間かけて消退します。 浮腫:徐々に消退し、3か月後に消失します。浮腫がある間は二重幅が広く見えます。 傷跡:赤く細い傷跡が6か月かけて目立たなくなっていきます。 ・左右差が出る可能性があります。 ・十分な効果が得られない可能性があります。 その他:感染症、糸の露出、縫合不全。 |
| 料金 | 片側 | 両側 |
| 眼瞼下垂(自費診療) | ¥264,000(税込) | ¥440,000(税込) |
手術中は麻酔が効いているので痛みを感じません。必要な部位に必要な麻酔量を的確に注射します。麻酔の痛みですが、強めにつねる程度の痛みがあります。麻酔にかかる時間は、片側につき10秒程度です。
殴られたほどの腫れはありませんが、まぶたを蜂に刺されたくらいの腫れが出ます。手術中に怖がっていきむと、腫れや内出血のリスクが上がります。手術中にできるだけリラックスして頂けるよう、時には時間をおいたり、話かけたりしますので、できるだけ手術を怖がらないでください。
腫れは1週間程度で消退しますが、代わってむくみがしばらく続きます。
むくみがある間は二重の幅が少し広く見えます。
術後3か月目以降は安定します。
元々眼瞼挙筋が持っている力自体が弱いと、手術を受けても改善の見込みが低くなります。簡単な診察で改善の見込みがあるかどうかの確認ができますので、受診時担当医にご相談ください。
両側で70分ほどかかります。
保冷剤があればハンカチにくるんでまぶたに当てておくと腫れが早く引きます。また、寝るときは枕を高めにして、(床からみて)心臓よりもまぶたが高くなるようにすると、翌日の腫れが少なくなります。ご心配なことがあれば、遠慮せず受診してください。
抜糸翌日(術後5日目)から可能です。
翌日より首から下のみシャワー浴はして頂けますが、浴槽に浸かる・運動・飲酒は術後1週間は控えてください。まぶたが多少濡れても問題はありません。
術後しばらくは、切開部分が少し凹み、それ以外の部位がむくみます。3か月程度で目立たなくなり、最終的には平坦で柔らかい細い白い線状の傷となります。傷跡は二重のラインと一致しますので目立つことはありません。
一般に10㎜幅まで、と言われています。二重のラインであまりたくさん皮膚を取ると、できた二重ラインの上に分厚い皮膚がのしかかる形となり、場合によっては不自然な見た目になります。不自然にならない範囲内での切除となります。
| 診療時間 | 月 | 火 | 水 | 木 | 金 | 土 | |
| 午前診 | 9時〜11時30分 | ◯ | ◯ | ◯ | ◎ | ||
| 10時〜11時30分 | ◯ | ||||||
| 手術 | 12時〜15時 | △ | △ | △ | △ | △ | △ |
| 午後診 | 16時〜18時 | ◎ | ◎ | ◯ | |||
| 美容皮膚科(照射系/ピーリング)の施術時間 | |
| 月、水、金曜 | 9時~17時 |
| 火曜 | 9時~15時 |
| 土曜 | 10時~15時 |
| 最終予約時間は施術内容により異なります。 木、日祝 休診 その他の曜日も休診の可能あり。 |
|

大阪市鶴見区鶴見3丁目12-23
ドリームネオポリス202